

DENTAL CLINIC
___________
__________
מרפאת שיניים
itzna
Dr.Besiki
ד"ר בסיקי
מצנע
D.M.D
רופא שיניים
Dentist
____________________________________________________________
דרך מנחם בגין 82, בניין "בית אינטרנשיונל" , תל אביב
לתיאום פגישת יעוץ חינם
התקשרו


מרפאת שיניים של ד"ר בסיקי מצנע
עוסקת בכל תחומי רפואה דנטלית ובה, בין היתר, מתבצעים טיפולי שיניים הבאיים:
השתלות שיניים - תחום העיסוק העיקרי של המרפאה.
מרפאת שיניים של ד"ר בסיקי מצנע היא אחת ממרפאות הראשונות, אם לא הראשונה, שהחלה לבצע טיפולי השתלות שיניים ממוחשבת בארץ. מכשור חדשני ושימוש בטכנולוגיה הכי מתקדמת לשם שיפור ומתן שרות מקצועי ואיכותי ביותר – זה אחד מקוי הפעולויות החשובים ביותר במרפאה.
במרפאה פועלת מעבדה המצוידת בציוד ומכשור מקצועיים וחדשניים שעובדת בשימוש תכנון ממוחשבת וטכנולוגיה מתקדמת ועדכנית לזמן הנתון.
השתלות שיניים מהוות פתרון אסטטי טוב וקבוע לשיניים פגומות, שאינן ניתנות לשיקום ובאות כחלופה יעילה ביותר לגשרים ותותבות, אשר בעבר היו פתרונות יחידים במצבים של חסר שיניים חלקי או מוחלט.
מבלי להכנס למונחים מקצועיים ופחות מובנים לקהל הרחב, אנחנו ניתן הסבר בסיסי ומובן, כדי למטופלים יהיה ברור יותר מה הם הטיפולים הניתנים במסגרת השתלת שיניים, בפרט, ורפואה דנטלית, בכלל.

שן, כעיקר, מורכבת משני חלקים – שורש המצוי בתוך העצם הלסת וכותרת, שרוב רובינו קוראים לזה שן. כדומה לכך פותחו שתלים דנטליים, שהם בעצם תחליף לשורש השין. על שתל דנטלי מחברים מבנה וכתר וכך משלימים שן חסרה ללא פגיעה בשיניים הסמוכות אליה. תפקידו של שתל דנטלי - להחליף שן ו/או שיניים טבעיות והוא – בורג העשוי ממתכת טיטניום, שאינה מסוכנת לבריאות. שתל דנטלי משמש משען לשיקום שן יציבה ובטוחה ביותר.


טיפולי שיניים ללא כאבים - הגיע זמן להשתחרר מפחד דנטלי ולהפסיק להזניח את השיניים בגלל הפחד מכאבים בעת הטיפול. המרפאה משקיעה הרבה במיכשור וטכנולוגיה חדשנים ומתקדמים ביותר המאפשרים, בין היתר, לבצע טיפולי שיניים ללא כאבים מרגע הראשון של הטיפול ועד לסיומו. כבר בתחילת הטיפול - בשלב הזרקת חומר ההרדמה מקומית רופא מתחיל הטיפול בשימוש מכשיר המונע כאבים בעת ההזרקה.
הרדמה מלאה וסידציה - הרדמת טשטוש - ישנם מטופלים שמעדיפים לעשות טיפולי שיניים בהרדמה מלאה או בסדציה, אשר מתבצעים בנוכחות רופא מרדים שנשאר לצד הרופא שיניים במשך כל הטיפול. ההרדמת טשטוש, לעומת הרדמה ככלית עמוקה יותר, מתבצעת בשימוש שיטת סידציה , לפיה המטופל במשך כל הטיפול נמצא ברגיעה מוחלטת. שיטת סידציה ושימוש תרופות הסידציה (1-2, המשמשות לעתים קרובות בשילוב עם הרדמה מקומית) מאפשרת לחלוטין לא לחוות כאב, פחד ורגשות שליליים אחרים, כאשר המטופל שומר על כל הרפלקסים החיוניים שמאפשרים לרופא לקבל תגובות המטופל למשך כל הפרוצדורה.
לפי שיטת סידציה המטופל לא מרגיש שום כאב או אי נוחות והוא בו זמנית מקבל מספר טיפולים, אשר בנסיבות רגילות היו מתבצעים במשך 5 או יותר ביקורים. טיפול בהרדמה מלאה או בסידציה אינו דורש תקופת שיקום ולאחר סיום הטיפול המטופל יכול ללכת הביתה מייד.
הרדמה בשיטת סדציה הינה פתרון מעולה בביצועה השתלות שיניים ביום אחד

השתלת שתל בודד - שיקום שן אחת – פתרון מעולה לשיקום שן אחת ללא השחזת שיניים סמוכות וללא צורך הרכבת הגשר. במרפאה שלנו תמיד מנסים לטפל בשיניים כך ששן טבעית תישמר לאורך זמן עד שניתן, אך לפעמים אין דרך אחרת , אלא לעקור את השן ומה שחשוב - זה לשמור על העצם, כי היא יכולה להעלם מהר לאחר העקירה ולגרום לטרחה, סבל והוצאות מיותרים. במקרים אלה אנו מציעים מייד לבצע השתלת שתל בודד עם חיבור מבנה וכתר - בעצם שן חדשה מיידית במקום שן חסרה.
השתלת מספר שתלים - במקרים חסרת מספר שיניים במרפאה מבצעים השתלות מספר שתלים וכל זה ללא חתכים. כל הטיפולים ניתן לבצע ביומיים, כאשר ביום ראשון מרכיבים , לדוגמה, שלושה שתלים ומבצעים קיבוע המבנים ומידות הכתרים קבועיים. בפגישה השנייה מדביקים גשר עם כתרים קבועיים. לאחר מכן ובתנאי שמטופל עוקב אחרי הנחיות הרופא, תוך זמן קצר ניתן ללעוס כרגיל ללא כל קושי.


השתלות שיניים – לסת שלמה - במקרה אובדן של כל השיניים ו/או כאשר כל השיניים פגומות ואינן ניתנות לשיקום, במרפאה מתבצעות השתלות שיניים בלסת שלמה. קיימות מספר שיטות לשיקום לסת שלמה: ---הברגת תותבת קבועה על השתלים – שיקום קבוע
--תותבות הנשענות על גבי שתלים וקורה
--שיקום נייד, כאשר התותבת עליונה ותחתונה. לאחר ההתאמה, נתפסות
באמצעות מנעולים
השתלת שיניים בשיטה All on 4-6 , כאשר שיקום קבוע של כל הלסת
מבוססת על 4 או 6 שתלים בלבד. השיטה הזו מתאימה גם למקרים כאשר
השיניים חסרות בצד אחד של הלסת בלבד. השיטה זו טובה ביותר
להשתלות שיניים ביום אחד




התאמת סגר
השתלות שיניים ביום אחד – המרפאה מצויידת במיכשור חדשני וטכנולוגיה מתקדמת ביותר, הדבר מאפשר לבצע השתלת שיניים ביום אחד בלי להתפשר על איכות גבוהה ותוצאות מעולות. לאחר בדיקה ממוחשבת וקפדנית ובירורים הכרחים, הרופא קובע יום להשתלת שיניים בכל הלסת.
ב - 09:00 התחלת הטיפול השתלות שיניים - לסת עליונה,
ב – 10:30 השתלות שיניים - לסת תחתונה,
ב – 12:00 הרכבת שיניים בלסת עליונה,
ב – 13:00 הרכבת שיניים בלסת תחתונה,
ב – 14:00 התאמת סגר לסת עליונה ללסת תחתונה והמטופל בסיום הטיפול. כל הנ"ל מתאפשר ע"י תכנון ממוחשב ומדויק והמטופל למחרת יכול לחזור לשגרה. חשוב לציין, כי לאחר השתלת שיניים בכל השיטות ובשיטה זו בפרט על המטופל לעקוב לאחר כל הנחיות של הרופא כדי לקבל תוצאות מושלמות וחיוך זוהר.
השתלת שיניים במקרה חסרת עצם התחלתית דרך בניית עצם חדשה – כל המקרים המתוארים לעיל מתייחסים למטופלים להם בלסת ישנה עצם טבעיית ובתוכה ניתן להרכיב שתל ו/או שתלים עם חיבור מבנה/ים וכתר/ים לשם שיקום שן אחת ו/או מספר שיניים ו/או לסת שלמה. אומנם ישנם מקרים רבים כאשר בלסת איננה עצם. ראוי להדגיש, כי לאחר עקירה ו/או איבוד השן או מספר שיניים ו/או כל שיניי הלסת השלמה מרקמת העצם, שמשמשת כבסיס לשורשי שיניים, העצם נעלמת ואין לאן להכניס ולהרכיב שתל דנטלי. במקרים הללו במרפאה מבצעים השתלת שיניים דרך בניית עצם חדשה שתשמש כבסיס להרכבת שתל/ים עם חיבור מבנה/ים וכתר/ים חדשים – שיניים חדשות. טיפולים במקרה זה מתבצעים במספר פגישות – בפגישה הראשונה בניית עצם חדשה, הכנסת שתלים והרכבת גשר זמני המאפשר ללעוס ולאכול כרגיל. מאחר ותפיסת העצם החדשה דורשת זמן בין 3-6 חודשים, כעבור זמן זה מתקיימת פגישה שנייה להרכבת גשר קבוע ולמטופל יש שיניים חדשות, אשר ישרתו אותם זמן ארוך בין 15-25 שנים.


אסתטיקה דנטלית - מובן מאליו כי טיפולי שיניים נועדים למטרת בריאות ואיכות חיים טובה ביותר, אך לא פחות חשוב מראה יפה עם חיוך זוהר ולשם כך מומחי המרפאה נותנים חשיבות רבה לאסתטיקה דנטלית ברפואת שיניים. במסגרת אסטטיקה דנטלית במרפאה מתבצעים, בין היתר, טיפולים הבאים:
--סתימות לבנות - קומפוזיט
--הלבנת שיניים
--הרכבת כתרים אסתטים – כתרי זירקוניה למראה אסתטי מושלם
--כתרי חרסינה
--ציפוי שיניים והשלמת שן/ניים שבורה/ות
--הסרת כתמים לבנים משיניים
--יישור שיניים
--שתלים אורתודונטיים



1
2
3
4
5

עששת

לפני
אחרי
סתימה


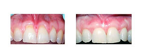
דלק ת חניכיים
לפני
אחרי
טיפולי שיניים משמרים:
טיפולי שורש
טיפול בעששות
שיני בינה
ציפוי שיניים
ניקוי אבן ורובד דנטלי
הסרת ריח רע מהפה
מפרק הלסת – פתרונות TMJ
טיפולי חניכיים – דימום ודלקת חניכיים
צילומי רנטגן דיגיטלי
צילום פנורמי - 3D
צילומי CT - מתבצעים במכוני CT

טיפולי שיניים לנשים בהריון – רוב הנשים חושבות, כי כדאי להימנע מטיפולי שיניים בזמן ההריון, מאחר וטיפולים הללו יכולים להזיק לעובר. בימינו לחשיבה כזאת אין כל רלבנטיות וזאת מאחר שקיים דירוג תרופתי המותר לשימוש הן בתקופת הריון והן בתקופת ההנקה, יתר מזה, הטכנולוגיה המתקדמת במרפאה מאפשרת לעשות צילומי רנטגן דיגיטלי כשסיכון הקרנה מינימלי ואינה מזיקה לאם ולעובר. בעת טיפולי שיניים בנשים בהריון טיפולי שיניים מתבצעים בשימוש תרופות שאינן חוצות את מחסום השליה ולכן אינן מסוכנות לאם ולעובר. יתר על כן, הן ניתנות במנות קטנות מאוד (כ 2 מיליליטר) ומופרשות מגוף במהירות ובזמן קצר.
ברוב המקרים ועקב שינויים המתרחשים בגוף בתקופת ההריון, הנשים סובלות מדלקת חניכיים, גם במקרים אלה אפשר לבצע כל טיפול נידרש כדי להבטיח את שלום האם והעובר ובטיפולים אלה אין שום סיכון בריאותי במידת שימוש תרופות ומינונן המותאמות במיוחד למצב ההריון.
כל האמור רלבנטי גם לעניין טיפולי שורש, כאשר במרפאה יצעו לכן הטיפול המיטבי המתאים ביותר לאישה הרה בשימוש בציוד הכי חדשני וטכנולוגיה הכי מתקדמת שיפשרו לעבור טיפול גם בתקופת הריון בלי שום חששות .
חשוב לציין, כי בתקופת ההריון אצל נשים רבות יכול להיפגע אמייל השיניים וכאמצעי מניעה מקצועי במהלך הריון המרפאה מציעה ציפוי שיניים בפלואוריד שיעזור לשמור על שלמות האמאיל ( אמייל ) מבלי לפגוע באמא ובעובר.
למרות האמור לעיל ובמידה והמצב אינו דורש דחיפות בטיפול, מומלץ לדחות הטיפולים לטרימסטר השני של הריון, כאשר העובר מפותח יותר והאם נוטה פחות לבחילות.
כמה המלצות איך לשכך כאבי שן או שיניים טרם פניה לרופא שיניים – לפעמים כאבי שיניים חזקים וחריפים תופסים אותנו בזמן שאין אפשרות לפניה מידית לרופא.
כאבי שיניים יכולים להיגרם על ידי סיבות שונות. לרוב תופעה זו באה מעששת (הרס הדרגתי של הרקמות הקשות של השן עם חור), מדלקת עצב בתוך השורש , מחניכיים (דלקת של הרקמות המקיפות את שורש השן).
ברוב המקרים כאב בעששת נגרמת על ידי כניסת שאיריות מזון בחלל השן, אבל לאחר הסרת גירוי סימפטום לא נעים, זה נעלם מייד. אך אם בשלב זה לא לפנות לרופא שיניים, התהליך הדועך עובר לשלב החמרה שאמור לגרום למטופל טרחה, אי נוחות ואי נעימות והוצאות מיותרות.
והינה כמה המלצות, אשר רלוונטיות גם לנשים בהריון:
--ק"כ בעזרת הקיסם בזהירות רבה לנקות את חלל השין מגוף זר ו/או משאיריות
מזון ושוב בזהירות, בעזרת מלקחיים למקם בחלק התחתון של חלל השן צמר
גפן טבול בטיפות אופטלגין נוזלי או משככי כאבים אחרים. לחיטוי ומניעת זיהום
מומלץ להוסיף לצמר גפן טבול טיפה אחת - שתיים של יוד ועד לפניה לרופא שיניים לא לאכול בכלל ולהימנע משתייה קרה וחמה. כעבור חצי שעה הכאבים יחלשו משמעותית או ירדו בכלל, אך לא לוותר ולמחרת לפנות לרופא שיניים ו
אם לא, כאבים יחזרו וגם מצב יכול להחמיר עד לאובדן השן.
--במידה וכאבים חזקים וחריפים ביותר מותר לקבל תרופה משכך
כאבים - 1-2- כדורים
--במקרה של דלקת חניכיים תעזור שטיפה תכופה של חלל הפה בחצי כפית
קטנה של סודה לשתייה + חצי כפית קטנה של מלח מומסים בכוס מיים
פושרים. תעזור מאד גם שטיפה במי חמצן 3%, שטיפות אלו משככות כאבים
ומחלישות הכאבים משמעותית .
--פתרון טוב – לקחת שן השום,לחתוך ולעטוף בבד גזה או בממחטה ולהניח
אותו על פרק היד לצד השן הכואבת ולקשור את התחבושת בחוזקה רבה עד
שהכאבים ישככו.
--במידה ותחת הידיים אין שום דבר, מומלץ להשתמש בשיטת אקופונקטורה
וללחוץ בחוזקה האצבע על החלול בין האף ושפתיים – החלול כאמור הוא
נקודת אקופונקטורה, ושיטה זו יכולה לעזור ולהקל על כאבי שיניים.
--אסור בצורה מוחלטת להשתמש ברטייה ו/או בקומפרס ו/או בתחבושת חמה!
זה יכול רק להחמיר את המצב, כי אחת מהסיבות של כאב שיניים יכולה להיות
מיסב מוגלתי חריף, כאשר הוא נחשף לחום ותהליך מוגלתי מקומי ( המרוכז באזור של שן אחת, לדוגמא) יכול לעבור לצורה מפוזרת ואיברים
ורקמות הסמוכים לשן כואבת, יכולים להפגע, ואם מדובר על האישה הרה,
הדבר יגרום לנזק בריאותי הן לאישה והן לעובר.
כל ההמלצות הללו הינן עזרה זמנית בלבד ואינן מהוות חלופה לטיפול שיניים מקצועי ו/או פתרון כלשהו לבריאות השן, לכן חובה לכל שסבל מכאבי שיניים, בהקדם האפשרי לפנות לרופא שיניים ולטפל בשן בצורה ראויה ומקצועית.





